INICIO
ENFERMEDADES
QUIZ
SOBRE NOSOTROS
CURIOSIDADES
INICIAR SESIÓN
TRAUMA ABDOMINAL
TROMBOSIS ESPLÉNICA
INFARTO ESPLÉNICO
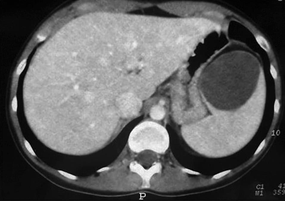
QUISTES ESPLÉNICOS
Previous slide
Next slide
EXPLORA EL MICROSCÓPICO
UNIVERSO DE TU BAZO
CONTÁCTANOS